По типу конструкции
Конструктивное исполнение определяет базовые функциональные возможности, сферу применения и удобство работы с пациентами. Разберем основные типы рентгеновских аппаратов.
U-arm: современная, универсальная цифровая рентгенографическая система, ключевая особенность которой — изогнутая (в форме буквы «U») моторизованная стойка, объединяющая рентгеновскую трубку и детектор. Компактная конструкция с изогнутой рукоятью позволяет системе занимать минимум места — обычно достаточно комнаты около 15 м², что делает ее оптимальным выбором для небольших кабинетов и клиник. Конструкция рычага обеспечивает большой диапазон движений, рентгенологи могут делать снимки с разных углов, не меняя лишний раз положение пациента. Аппарат делает снимки с высоким разрешением, что повышает точность диагностики.

Установка со столом для лежачих пациентов и вертикальным штативом для стоячих: классическая конструкция, включающая рентгеновский стол и вертикальную стойку-штатив с рентгеновской трубкой (напольной или подвесной). Обеспечивает максимальный диапазон положений пациента (стоя, сидя, лежа), что важно при диагностике позвоночника, таза; для обследования пациентов с ограниченной подвижностью.
Телеуправляемый стол-штатив (многофункциональный комплекс): современное решение для крупных диагностических центров. Стол может принимать различные положения (от горизонтального до вертикального), а рентгеновская трубка закреплена на подвижном штативе с возможностью телеуправления. Обеспечивает максимальную гибкость при проведении как рентгенографии, так и рентгеноскопии (флюороскопия).
По назначению
Классификация отражает специализацию оборудования для решения конкретных клинических задач.
- Общие диагностические (рентгенографические)
Предназначены для получения стандартных статичных снимков (рентгенограмм) различных частей тела. Составляют основу парка оборудования поликлиник и стационаров.
- Рентгеноскопические (флюороскопы)
Оснащены системами для наблюдения за процессами в режиме реального времени. Используются для динамических исследований: изучения моторики желудочно-кишечного тракта, проведения катетеризаций сердца и сосудов, интраоперационного контроля.
- Специализированные аппараты
- Ангиографы. Комплексы для контрастной визуализации сосудов. Объединяют высокоскоростную С-дугу, мощное ПО и системы снижения дозы, позволяя проводить минимально инвазивные операции.
- Хирургические С-дуги. Мобильные интраоперационные системы для контроля в травматологии, нейро- и ортопедической хирургии.
- Дентальные аппараты. Ортопантомографы для панорамных снимков челюстей и визиографы для прицельной съемки зубов.
- Маммографы. Для скрининга и диагностики заболеваний молочных желез.
- Костные денситометры (DEXA). Для точного измерения минеральной плотности костной ткани (диагностика остеопороза).
По типу детектора
Самый важный технологический выбор, напрямую влияющий на качество диагностики, безопасность и эффективность работы.
- Аналоговые (пленочные)
Устаревшая технология, где изображение формируется на специальной рентгеновской пленке, требующей химической обработки. Характеризуются высокой лучевой нагрузкой, низкой оперативностью и отсутствием цифрового архива.
- Цифровые с CR-системой (Computer Radiography)
Промежуточное решение. Вместо пленки используется кассета с фосфорной пластиной, которую после экспонирования необходимо сканировать в отдельном устройстве (ридере). Дает цифровой файл, но процесс остается двухэтапным, а разрешение и скорость — ограниченными.
- Цифровые с DR-детектором (Digital Radiography)
Современный стандарт. Плоскопанельный детектор мгновенно преобразует рентгеновское излучение в цифровой сигнал. Обеспечивает высочайшее качество изображения, значительное снижение дозы облучения, мгновенный результат и полную интеграцию в цифровой рабочий процесс медицинского учреждения (PACS).
По способу установки
Определяет, где и в каких условиях может эксплуатироваться аппарат.
- Стационарные. Устанавливаются в специально оборудованных, защищенных рентген-кабинетах. Обладают максимальной мощностью, функциональностью и высокой пропускной способностью. Требуют отдельного проекта, согласований и трехфазного электропитания. Могут быть на 2 или 3 рабочих места.
- На 2 рабочих места. Комплектация: стол и стойка для снимков, рентгеновская трубка (напольное или потолочное крепление) и генератор. Подходит для выполнения стандартных рентгенографических снимков в положении лежа и стоя. Широко используется для общих исследований.
- На 3 рабочих места. В дополнение укомплектован поворотным столом-штативом (универсальный стол). Расширенный набор функций, включая рентгеноскопию, обеспечивает проведение полноценной диагностики.
- Мобильные установки (передвижные, палатные). Аппараты на колесной платформе, часто с аккумуляторным питанием. Предназначены для исследований у постели нетранспортабельных пациентов в отделениях реанимации, интенсивной терапии, травматологии. Имеют ограниченную, но достаточную для основных задач мощность.

- Портативные рентгены (переносные). Компактные моноблочные рентген-системы. Применяются в полевых условиях, на дому у пациента, в спортивной медицине, ветеринарии или малых кабинетах. Мощность и функционал минимальны, но достаточны для снимков конечностей и грудной клетки.
Преимущества и недостатки каждого типа
Выбор оптимального типа рентген аппарата предполагает понимание компромиссов между ключевыми характеристиками.
|
Детектор |
||
| CR-система | Более низкая стоимость перехода с пленки, наличие цифрового архива | Двухэтапный процесс, меньшее разрешение и скорость, износ кассет |
| DR-система | Максимальное качество снимка, снижение дозы, мгновенный результат, полная цифровая интеграция | Наиболее высокая начальная стоимость |
|
Конструкция |
||
| U-arm | Компактность, экономия пространства, повышенная гибкость, комфорт для пациента, быстрый процесс визуализации | Дороже традиционных аппаратов, требования к обучению, доступность |
| Стол+стойка | Можно проводить исследования лежа и стоя, универсально для диагностики | Требует больше места, менее гибкая по сравнению с другими системами |
| Телеуправляемый стол-штатив | Максимальная универсальность, поддержка всех видов исследований, высокая пропускная способность | Наибольшая стоимость, требует много места и сложного монтажа |
|
Мобильность |
||
| Стационарный | Максимальная мощность и функционал, высокая производительность | Высокие требования к помещению, сложная документация, невозможность перемещения |
| Мобильный | Незаменим у постели больного, автономность, маневренность | Ограниченная мощность и функционал, меньший ресурс |
| Портативный | Высокая мобильность, работа в любых условиях | Значительные ограничения по мощности и функционалу, низкая производительность |
Современные технологии в рентгенографии
Современные цифровые рентгены оснащены интеллектуальными опциями, которые повышают информативность снимков и безопасность исследований.

- Двухэнергетическая субтракция (ДЭР)
За один сеанс система делает два снимка с разной энергией излучения. Их компьютерная обработка позволяет получить три независимых изображения: стандартное, только мягких тканей и только костных структур. Это повышает точность диагностики патологий легких и костей без увеличения лучевой нагрузки.
- Томосинтез
Аппарат за один проход делает серию низкодозовых снимков (до 60 кадров) с разных углов. Программа создаёт из них послойные срезы исследуемой области. Технология устраняет эффект наложения органов, что особенно полезно при обследовании легких и молочных желез, снижая необходимость в дополнительных КТ-исследованиях.
- Автоматическая сшивка снимков
Для изучения протяженных зон (весь позвоночник, нижние конечности) система автоматически делает серию кадров и объединяет их в единое панорамное изображение без швов. Это обеспечивает высокую точность измерений при диагностике сколиоза или планировании операций на суставах.
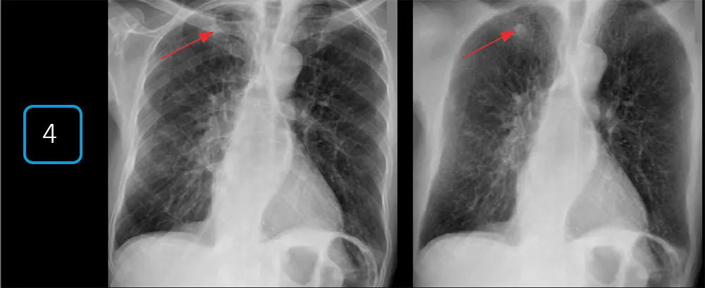
- Подавление костной ткани (Bone Suppression)
Специальный алгоритм искусственно удаляет изображение костей с готового снимка грудной клетки. Это помогает лучше визуализировать затемнения в легких, которые могли быть скрыты за рёбрами, выступая дополнительным инструментом анализа без повторного облучения.

- Интеллектуальная постобработка
Программные пакеты (например, UNIQUE 2 от Philips или Quality Care Suite от GE) автоматически оптимизируют качество изображения: улучшают контраст, убирают шумы, подстраивают чёткость под конкретную область. Это гарантирует стабильно высокое качество снимка и экономит время оператора.
- Контроль дозы (GCF — Grid Controlled Fluoroscopy)
Технология импульсной рентгеноскопии, применяемая, в частности, в аппаратах Philips. Излучение подается не постоянным потоком, а короткими импульсами, — это создает плавное «живое» изображение для врача при проведении манипуляций, снижает дозу облучения на 50-90% по сравнению с обычным режимом.
Как выбрать оптимальный вариант
- Определите клинические потребности и предполагаемый поток пациентов.
Как часто будет работать аппарат? Потребуется оборудование для диагностики лежачих пациентов? Какие исследования необходимы: статические или динамические? Нужен ли функционал флюороскопии? Обратите внимание на тип генератора — например, при проведении флюорографии, маммографии и в диагностике переломов нужен высокочастотный генератор.
- Выберите технологию детектора.
Приоритет — DR-система. Это инвестиция в качество диагностики и долгосрочную экономию. CR-система — компромиссный вариант при жестком бюджете.
- Оцените необходимость в мобильности.
Для работы в одном кабинете — стационарный, для службы интенсивной терапии — мобильный, для выездной работы — портативный рентген.
- Проверьте инфраструктурные требования.
Для стационарного аппарата убедитесь в возможности создания рентген-кабинета (площадь, экранирование, электросеть 380В). Для мобильных и портативных — наличие условий для хранения и подзарядки.
- Убедитесь в совместимости и эргономике.
Желательно, чтобы система поддерживала стандарт DICOM для интеграции с PACS/RIS клиники. Эргономика управления позиционированием экономит время персонала.
- Рассмотрите репутацию производителя и сервис.
Оборудование ведущих мировых брендов (Siemens Healthineers, GE Healthcare, Philips) отличается надежностью. Наличие оперативной сервисной поддержки в вашем регионе — важный фактор.
FAQ
Какие бывают рентген-аппараты?
4 принципа, по которым классифицируют рентген-аппараты:
1. Конструкция (U-arm, стол+стойка, телеуправляемый комплекс).
2. Назначение (общие, флюороскопические, специализированные).
3. Технология детектора (пленка или цифровая радиография).
4. Мобильность (стационарные, мобильные, портативные).
Чем отличается цифровой рентген от аналогового?
Цифровой рентген (DR) делает снимок в формате электронного файла, что обеспечивает ряд преимуществ: более качественное изображение, значительное снижение дозы облучения, мгновенный результат и легкая архивация. Аналоговый (пленочный) фиксирует изображение на физической пленке, которая требует химической обработки, — это дольше, менее качественно и дороже в эксплуатации.
Где используются портативные рентгены?
Портативные (переносные) аппараты применяются в условиях, где невозможна или нецелесообразна установка стационарного оборудования: выездная служба (дом пациента), полевые госпитали, спортивные мероприятия, ветеринарные клиники, небольшие частные кабинеты с ограниченным пространством.
Какие модели наиболее популярны в 2025 году?
Современный тренд — повсеместный переход на полностью цифровые DR-системы. Рентгены базового и среднего уровня можно выбрать и у российских производителей, многофункциональные системы с уникальными технологиями — у зарубежных производителей.
Например, Philips CombiDiagnost R90 на 3 рабочих места:
- высокая производительность для рентгенографии и рентгеноскопии
- возможность комплектации второй трубкой на потолочном подвесе
- постобработка изображений и технологии снижения дозы (GCF)
- сшивка на столе и у вертикальной стойки
- визуализация легких с Bone suppression и кровеносных сосудов (DSA)

