Сердечно-сосудистые заболевания остаются главной причиной смертности во всем мире, но современная медицина совершила гигантский скачок от открытых полостных операций к малоинвазивным вмешательствам. В центре этой революции стоит ангиограф.
Мы подробно разберем устройство ангиографического комплекса, как он работает, для чего используется и как помогает спасать жизни.
Что такое ангиограф
Ангиограф — это высокотехнологичный цифровой рентгеновский комплекс, специально разработанный для визуализации просвета сосудов — артерий, вен, лимфатических путей и полостей сердца.
В отличие от классического рентгена, который делает статичные снимки, или компьютерного томографа, создающего объемные срезы, ангиограф работает в режиме рентгеноскопии. Это можно сравнить с видеосъемкой: аппарат непрерывно генерирует излучение, позволяя врачу наблюдать за движением крови, сокращением сердца и манипуляциями инструментами внутри тела в реальном времени.
Главный элемент ангиографической установки — С-дуга. Это штатив в форме латинской буквы «С», на одном конце которого закреплена рентгеновская трубка (источник излучения), а на другом — детектор (приемник). Эта конструкция позволяет свободно вращать излучатель и детектор вокруг неподвижно лежащего пациента. Центр рентгеновского луча всегда проходит через одну фиксированную точку, независимо от угла поворота дуги.
Для чего используют ангиограф
Направление медицины, использующее ангиографы, называется рентгенэндоваскулярной хирургией. Основная задача аппарата — обеспечить навигацию. Он позволяет врачу ввести через бедренную или лучевую артерию тонкий катетер и провести его в любую точку организма: от сосудов пальца ноги до артерий головного мозга.
Ключевые сферы применения
- Кардиология: диагностика ишемической болезни сердца
Врачи находят места сужения коронарных артерий и устанавливают стенты — специальные каркасы, восстанавливающие кровоток и предотвращающие инфаркт.
- Нейрохирургия и неврология: лечение инсультов
Если тромб закупорил сосуд в мозге, хирург под контролем ангиографа может механически извлечь его, то есть сделать тромбоэкстракцию и спасти пациента от инвалидности. Также ангиограф незаменим при «выключении» аневризм, которые грозят разрывом.
- Сосудистая диагностика и хирургия: лечение атеросклероза артерий ног
При атеросклерозе холестериновые бляшки нарастают внутри артерий ног, подобно накипи в трубах. Постепенно просвет сужается или закупоривается полностью. Кровь перестает поступать к стопе, ткани начинают отмирать — развивается гангрена. Раньше единственным выходом была ампутация. Баллонная ангиопластика (процедура, во время которой в область сужения вводят и раздувают под давлением баллонный катетер, расширяя таким образом кровеносный сосуд) позволяет сохранить конечность.
- Онкология: метод химиоэмболизации
Врачи подводят катетер прямо к сосуду, питающему опухоль, и вводят туда дозу химиопрепарата вместе с эмболами — закупоривающим материалом. Опухоль лишается кровоснабжения и погибает, а организм не отравляется токсинами, как при обычной системной химиотерапии.
Принцип работы ангиографической установки
Почему на обычном рентгене мы видим кости, но не видим сосуды? Потому что плотность крови и мягких тканей почти одинакова — рентгеновские лучи проходят сквозь них свободно, не оставляя тени. Чтобы увидеть сосуд, его нужно «покрасить». Работает ангиограф следующим образом:
1. Контрастирование
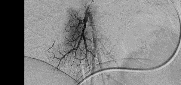
Через катетер в исследуемый сосуд вводится рентгеноконтрастное вещество, обычно на основе йода. Йод обладает высокой атомной массой и отлично задерживает рентгеновские лучи. В момент введения контраста кровь становится видимой для детектора, и сосудистое русло ярко окрашивается на мониторе.
2. Цифровая субтракция
Позволяет получить идеально четкую картинку сосудов без помех от костей. Процесс происходит автоматически за доли секунды. Аппарат делает снимок до введения контраста, затем серию снимков с контрастом. Первое изображение компьютер накладывает на снимки с контрастом и убирает все, что совпало. Кости черепа, ребра или позвоночник полностью исчезают с экрана. Хирург видит только четкое дерево кровеносных сосудов на пустом фоне. Это позволяет заметить мельчайшие тромбы, аневризмы или сужения размером менее миллиметра.

Виды ангиографов
У ангиографических установок есть две основные классификации:
1. По типу крепления
| Тип | Главная особенность | Преимущества и недостатки | Где используется |
| Напольный | С-дуга крепится на массивной станине к полу. | Простой монтаж, не требует усиления потолка. База аппарата занимает место у стола, что может ограничивать доступ анестезиолога к голове пациента. | Общая кардиология, периферические вмешательства, стандартные операционные. |
| Потолочный | С-дуга подвешена и перемещается по рельсам на потолке. | Дает максимальную свободу движений. Аппарат можно отодвинуть и освободить доступ к пациенту со всех сторон, что идеально для гибридных операций. Позволяет делать снимки всего тела, «прокатив» дугу вдоль стола. При установке соблюдаются строгие требования к перекрытиям. | Нейрохирургия, сложные кардиологические вмешательства, исследования всего тела. |

2. По количеству детекторов
| Тип | Конфигурация | Ключевое преимущество | Специфика применения |
| Моноплановый | 1 рентгеновская трубка / 1 детектор. | Достаточен для большинства задач, оптимальное соотношение цена/качество, низкая лучевая нагрузка. | Коронарография, артериография конечностей, онкологические процедуры. |
| Биплановый | 2 трубки / 2 детектора (под углом 90°). | Позволяет видеть сосуд сразу спереди и сбоку, а значит требуется вдвое меньше контраста и времени облучения. | Нейрохирургия (оценка аневризм, тромбоэкстракция), педиатрия, сложные многососудистые исследования. |
Преимущества и технические особенности
Современный ангиограф — это мощный вычислительный комплекс. Его преимущества: повышенная безопасность, ювелирная точность и высокая скорость вмешательства. Рассмотрим основные функции и технологии.
1. Роадмэппинг
Самая полезная функция для навигации, можно сравнить с маршрутом на экране GPS-навигатора. Снимок с контрастом, на котором видно сосудистое дерево, инвертируется и накладывается на «живое» рентгеновское изображение, как полупрозрачная карта. Хирург видит коридор сосуда и может вести внутри него инструмент, не вводя контраст постоянно.
2. 3D-ротационная ангиография
С-дуга совершает быстрый оборот вокруг пациента, за 4–6 секунд делая сотни снимков. Компьютер собирает их в полноценную 3D-модель, аналогичную снимку КТ. Это позволяет хирургу прямо на столе оценить сложную анатомию аневризмы или убедиться, что стент раскрылся правильно.
3. Плоскопанельный детектор
В старых аппаратах использовались электронно-оптические преобразователи — громоздкие трубы, дававшие искажения по краям. Современные аппараты оснащены цифровыми плоскими панелями, которые обеспечивают геометрически правильную картинку, обладают высокой чувствительностью и позволяют снизить дозу облучения на 30–50%.
В каких исследованиях применяется ангиограф
- Коронарография
Исследование артерий, питающих сердце. Позволяет увидеть степень сужения сосудов и принять решение: лечить медикаментозно, ставить стент или отправлять на шунтирование.
- Церебральная ангиография
Детальное исследование всех сосудистых бассейнов головного мозга. Незаменимо для поиска причин инсульта, обнаружения аневризм и артерио-венозных мальформаций.
- Ангиопульмонография
Исследование сосудов легких, например, для диагностики тромбоэмболии легочной артерии.
- Аортография
Визуализация главной артерии тела — аорты. Используется при расслоениях или аневризмах.
- Ангиография нижних конечностей
Картирование кровотока в ногах при диабете или атеросклерозе для планирования операции по восстановлению проходимости.
Требования к установке и персоналу
Помещение операционной, где установлен ангиограф, должно быть просторным (обычно не менее 30–40 кв. м.), чтобы вместить С-дугу, стол, стойки с мониторами, наркозный аппарат и бригаду врачей. Высота потолков — около 3 метров. Чтобы выдержать вес ангиографа, потолочное крепление требует идеальной бетонной плиты. Монтажные рельсы нужно выровнять с лазерной точностью.
Ангиограф — источник мощного излучения, стены экранируются баритовой штукатуркой или свинцом. Обязателен расчет защиты не только для стен, но и для дверей, пола и потолка, если есть смежные этажи.
Кроме того, ангиографическая — это «чистое» помещение. Требуется система фильтрации для подачи стерильного воздуха и мощное кондиционирование для отвода тепла от оборудования.
Весь персонал работает в свинцовых фартуках и воротниках, так как находится в зоне облучения. Ангиографы высокого класса оснащаются дополнительными защитными экранами для снижения дозы на врача.
Примеры ангиографических систем
Особенность этой флагманской системы — роботизированная C-дуга. Дает неограниченную подвижность по нескольким осям, включая возможность опускаться до уровня пола и парковать аппарат за пределами рабочей зоны стола. Allia IGS 7 оснащается пакетом приложений ASSIST с инструментами для количественной оценки стеноза и функцией Blended Roadmap, которая автоматически совмещает 3D-данные с «живой» рентгеноскопией.
Производитель сфокусировался на ускорении рабочего процесса и безопасности. Технология ClarityIQ снижает лучевую нагрузку до 75% при сохранении высокой детализации изображения. Система оснащена модулем FlexSpot для управления всеми модальностями с одного стола.

FAQ
Что показывает ангиограф?
Сосудистое русло. Врач может оценить проходимость сосудов, стенозы и патологические изменения.
Чем ангиограф отличается от КТ?
КТ создает статичные объемные срезы для диагностики, тогда как ангиограф, используя цифровую субтракцию, показывает динамику кровотока в режиме «живого» видео для навигации во время лечения.
Какие сосуды исследуют с помощью ангиографа?
Все ключевые сосудистые бассейны: коронарные артерии сердца, церебральные сосуды головного мозга, сосуды легких, а также периферические артерии конечностей.
Безопасна ли процедура ангиографии?
Достаточно безопасна при соблюдении протоколов и использовании современного низкодозного оборудования (есть небольшие риски, связанные с облучением и применением контраста).
Заключение
ТД «Пульс» — надежный партнер в оснащении высокотехнологичных операционных. Мы поставляем флагманские ангиографические системы от ведущих мировых производителей и гарантируем полный цикл поддержки — от проектировки и монтажа до тренинга персонала и сервисного обслуживания.

