Описание
Vivid E90 — ультразвуковой сканер премиум класса для двухмерной сердечно-сосудистой диагностики, построенный на базе новейшей архитектуры cSound с программным формированием луча и передовыми возможностями визуализации.
Vivid E90 — ультразвуковой сканер премиум класса для двухмерной сердечно-сосудистой диагностики, построенный на базе новейшей архитектуры cSound с программным формированием луча и передовыми возможностями визуализации, поднимающими уровень медицинского обслуживания на совершенно новую высоту, помогая минимизировать число малоинформативных исследований и снизить расходы.
Диагностика заболеваний сердечно-сосудистой системы является сложной задачей, которая к тому же нередко усложняется особенностями телосложения пациента. Поэтому далеко не все аппараты ультразвуковой диагностики позволяют получить информативные и достоверные результаты исследований, пригодные для эффективного оказания согласованной медицинской помощи.
Благодаря инновационным технологиям прецизионной конфокальной визуализации и адаптивного контрастного усиления Vivid E90 позволяет получать существенно больше данных, гарантируя получение подробных изображений сердца и его структур. Помимо этого, УЗИ аппарат предлагает множество прогрессивных инструментов количественного анализа и функции оптимизации рабочего процесса.
Улучшенные характеристики системы позволяют получать изображения превосходного качества в ближней зоне, иметь высокую однородность и увеличенную глубину проникновения, а также визуализировать латеральные стенки с повышенной четкостью.
Качество визуализации
Vivid E90 объединяет в себе новейшую ультрапроизводительную архитектуру cSound и высокотехнологичные датчики XDclear, обладает впечатляющими характеристиками глубины проникновения, высокой чувствительности и пространственного разрешения, обеспечивая выдающееся качество 2D изображений. При этом другой сильной стороной системы является легкость выполнения даже самых сложных исследований. Та же чреспищеводная ЭхоКГ с Vivid E90 становится простым, быстрым и понятным рабочим инструментом для получения детализированных изображений сердца во время оценки его функций и диагностики.
- Технология True Confocal Imaging (TCI) — точная конфокальная визуализация для чреспищеводной ЭхоКГ позволяет получить равномерную фокусировку с высоким контрастным разрешением во всем поле обзора при высокой частоте кадров.
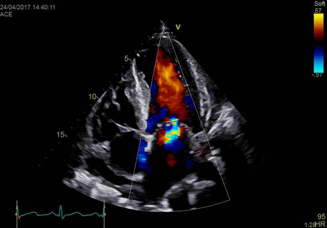
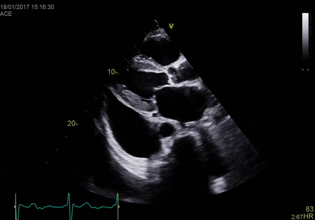
- Технология Adaptive Contrast Enhancement (ACE) — адаптивное повышение контрастности с усилением исходных сигналов и снижением уровня нежелательных шумов и артефактов.
- Технология датчиков XDclear — позволяет добиться исключительной чувствительности допплеровских режимов, повысить контрастное разрешение, четкость и глубину проникновения.
- Триплан (Triplane) — данная функция дает возможность визуализировать сердце за одно сокращение одновременно в трех плоскостях с высоким временным и пространственным разрешением.
- Виртуальный апекс (Virtual Apex) — технология на секторных фазированных датчиках, позволяющая расширить поле обзора и улучшить визуализацию структур, расположенных по краям.
Инструменты количественного анализа
Простые в освоении и использовании инструменты количественного анализа дают возможность точной оценки состояния сердечно-сосудистой системы и выработки максимально эффективного плана лечения.
- Автоматизированная визуализация функции сердца (AFI) — оценка и количественный анализ регионарной сократимости миокарда ЛЖ, с расчетом большого числа параметров.
- Стресс-протоколы в сочетании с технологией AFI — легкое получение стандартных апикальных проекций в режиме 2D и расчет регионарной и глобальной продольной деформации миокарда для оценки сократимости стенок на любых уровнях нагрузки.
- Auto EF — данная функция, в основе которой лежит алгоритм 2D спекл-трекинга, позволяет проводить вычисления наиболее часто используемых параметров для оценки функции ЛЖ.
- Индекс Дисперсии Пиковой Деформации (PSD) — отображает стандартное отклонение от среднего значения времени достижения показателя пиковой деформации для полного сердечного цикла. Дисперсия пиковой деформации также называется механической дисперсией.
Детская кардиология
Vivid E90 имеет широкие возможности для проведения педиатрических и неонатальных исследований, обеспечивая превосходное разрешение, отличную чувствительность, контрастность и четкость. Система предлагает большой выбор детских датчиков включая датчики XDclear и микро чреспищеводный датчик 10T-D, которые позволяют эффективно исследовать глубокую анатомию или мелкие структуры, не жертвуя при этом пространственным или динамическим разрешением.
Мультиплановый микро TEE датчик 10T-D позволяет проводить сложную кардио-диагностику у неонатальных пациентов весом до 2,5 кг, также он может использоваться для взрослых с непереносимостью чреспищеводных исследований.
Эргономика и оптимизированный рабочий процесс
Высокая продуктивность системы достигается не только за счет эффективных инструментов и мощной вычислительной платформы, а в том числе за счет высокой оптимизации рабочих процессов.
Технология автоусиления ультразвукового сигнала производит непрерывную оптимизацию двухмерных изображений в режиме реального времени исходя из особенностей каждого пациента и не требует дополнительной повторной активации при смене режима сканирования.
Автоматические настройки временной компенсации усиления улучшают качество изображения при проведении исследования у технически сложных пациентов.
Продуманный интерфейс пользователя с настраиваемой сенсорной панелью управления позволяет с легкостью производить необходимые настройки, а средство управления данными дает возможность оперативного доступа к изображениям пациента.
Область применения
- Эхокардиография детей и взрослых
- Эхокардиографические исследования с использованием УЗ-контрастов
- Стресс-эхокардиография
- Ангиология
- Транскраниальные исследования структур и сосудов головного мозга
- Близко расположенные органы и поверхностные структуры
- Органы брюшной полости
- Акушерство
- Гинекология
- Скелетно-мышечная система
- Урология
- Педиатрия
- Неонатология
- Интраоперационные исследования
- Чреспищеводные исследования детей и взрослых
Доступные датчики
- M5Sc-D XDclear — матричный монокристальный секторный фазированный датчик 1.4-4.6 МГц. Клиническое применение: взрослая кардиология, транскраниальные исследования
- 6S-D — секторный фазированный датчик 2.4-8.0 МГц. Клиническое применение: детская кардиология
- 12S-D — секторный фазированный датчик 4.0-12.0 МГц. Клиническое применение: кардиология у новорожденных и детей, нейросонография
- 6VT-D TEE — матричный мультиплановый чреспищеводный датчик 3.0-8.0 МГц для визуализации сердца
- 6Tc — мультиплановый электронный взрослый чреспищеводный датчик 3.0-8.0 МГц. Клиническое применение: чреспищеводные исследования сердца у взрослых
- 9T — мультиплановый электронный детский чреспищеводный датчик 3.0-10.0 МГц. Клиническое применение: чреспищеводные исследования сердца у детей
- C1-6-D XDclear — монокристальный конвексный датчик 1.5-6.0 МГц. Клиническое применение: брюшная полость, акушерство и гинекология, урология, ангиология
- C2-9-D XDclear — монокристальный конвексный датчик 2.3-8.4 МГц. Клиническое применение: брюшная полость, акушерство и гинекология, урология, ангиология
- C3-10-D — монокристальный микроконвексный датчик 3.0-10.0 МГц. Клиническое применение: педиатрия, нейросонография, брюшная полость, урология, ангиология, скелетно-мышечная система
- IC5-9-D — внутриполостной микроконвексный датчик 3.3-8.6 МГц. Клиническое применение: акушерство и гинекология, урология
- 11L-D — линейный датчик 4.5-12.0 МГц. Клиническое применение: ангиология, поверхностно расположенные органы, педиатрия, скелетно-мышечная система
- 9L-D — линейный датчик 2.4-10.0 МГц. Клиническое применение: ангиология (глубокие сосуды), педиатрия, скелетно-мышечная система, поверхностно расположенные органы
- L8-18i-D — L-образный интраоперационный датчик 5.0 — 15.0 МГц. Клиническое применение: интраоперационные исследования, ангиология, поверхностно расположенные органы, скелетно-мышечная система
- P2D — карандашный допплеровский датчик 2.0 МГц.
- P6D — карандашный допплеровский датчик 6.3 МГ
















